小美是江西人,今年25岁,上月中旬出现高烧39℃以上,还伴有咳嗽,于是到浙江省温州市中西医结合医院看病。
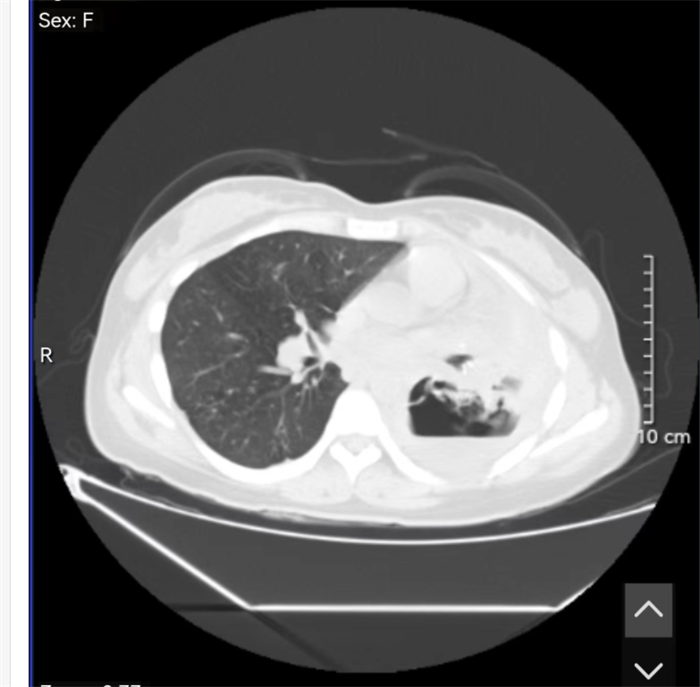
医生在做CT影像检查时发现,她的左肺里面的组织已经被结核菌“吃”掉了,形成了巨大的空洞,空洞里有脓液。

▲ 右边空白部分就是被细菌“吃”掉的
小美告诉医生,她曾经患过肺结核,也吃过一段时间的药物,但没有去复查,最近几年也没发生什么症状,所以没怎么在意。
该院呼吸内科主任医师给小美做了穿刺引流,从肺部空洞里抽出了约50毫升脓液,并用大量生理盐水冲洗其肺部,冲洗了十几天后,才把肺里的脓液全部冲走,她的体温也逐渐恢复正常。
医生表示,小美的左肺已不具备任何功能,平时不能太劳累,不然左肺仍可能再度感染,到时情况会更严重。
医生告诉记者,结核分枝杆菌不仅伤肺,还会“吃掉”肺脏。正常情况下,肺部充满气体,做CT时应该是黑色透亮的。但罹患肺结核后的患者,肺部CT影像会出现空洞及肺组织纤维化收缩,像被“吃掉”了一样。
医生提醒
结核分枝杆菌属于细菌,感染结核杆菌不等于发病,在感染人群中,绝大多数正常,只有10%~15%的人会患上结核病。一旦人体免疫力下降,结核菌就可能大量繁殖导致结核病,所以老年人结核病的发病率较高。
预防结核杆菌感染,切断传播途径很重要。飞沫是结核病的主要传播方式,说话、唱歌、咳嗽、打喷嚏均可产生飞沫,一个喷嚏可产生4万个以上的飞沫,而且可以传播2米以上的距离。
需要强调的是,肺结核患者一定要规律服药,完成整个服药过程。肺结核的疗程至少要6个月,在此期间内不能擅自停药,否则容易导致耐药性结核菌出现。而耐药性结核不仅治疗时间长、治疗花费高,治愈率也比敏感型结核低很多。结核病如果能早诊断、早治疗、规范治疗,治愈率很高。