都市快报讯 “当时我的病很重很重,已经昏迷不醒了,最后朱侠凯等援川医师给我安了呼吸机.....才把我这条命捡回来了。现在的我已经可以自己走路、吃饭,还可以做体力劳动了。”

这份语言质朴的感谢信的主人,是四川甘孜九龙县人民医院第一例救治成功的重症恙虫患者。在它背后是余杭区第三人民医院援川医生朱侠凯的全力救援,是九龙县人民医院医护人员的通力合作,更是一个宝贵生命被挽救的故事。
呼吸衰竭
壮年男子挣扎在生死边缘
李先生今年46岁,10月27日上午,他因发热多日住进了九龙县人民医院。当时的李先生有发热、呼吸困难、胸闷等症状,并有逐渐加重趋势。普通治疗并没有遏制住李先生不断发展的病情,第二天李先生呼吸困难加重,血氧饱和度下降至60%。主管医师下达病危通知书,并求助于正在九龙县人民医院开展医疗援建的朱侠凯。
朱侠凯医师经过评估,发现患者属于恙虫咬伤造成的多脏器功能衰竭。肝功能、肾功能都有不同程度的损伤,最重的当属呼吸功能,患者已是重症肺炎,自主呼吸已经十分困难。

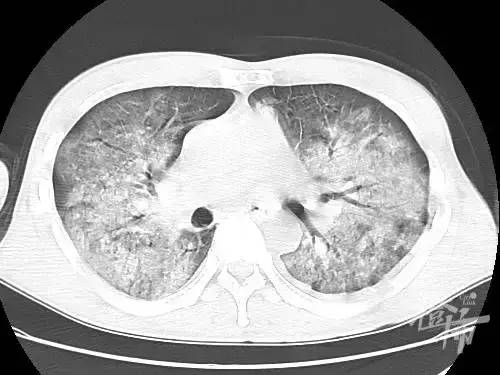
(李先生CT显示双侧白肺)
深处四川甘孜山区的九龙县人民医院从来没处理过这么重的患者,转到附近的大型医院也需要8小时车程。由于医院海拔在3000米左右,气温已经接近零度,当时的李先生已经急性呼吸衰竭,无法耐受这么长时间的转运和寒冷天气。
数个第一例
全力以赴挽救患者生命
第一例清醒气管插管,第一例深静脉穿刺,第一例俯卧位通气......为了治疗李先生,朱侠凯在九龙县人民医院开展了很多第一例。
当时李先生已经是双侧白肺状态,属于典型的急性呼吸窘迫综合症,情况十分危急,已经无法耐受麻醉,为了提高抢救成功率,朱侠凯第一时间做了清醒气管插管,并用滴定方法找到最合适患者的通气模式。

(清醒气管插管)
深静脉穿刺、抗感染治疗、保护性肺通气策略、精准控制的补液,并加上大力脏器功能支持、营养支持、调节机体免疫力以及稳定内环境等辅助治疗,朱侠凯为李先生制定了一套详细全面的治疗方案。
经过4天的治疗,李先生的症状明显好转,但仍然难脱离呼吸机自主呼吸。检查发现李先生背部的一部分肺仍未张开,朱侠凯建议为患者实施俯卧位通气。
俯卧位通气这项操作难度系数大、风险高,因为患者带有气管插管、胃管、尿管、中心静脉置管等各种管路,操作过程中任何一根管路的不慎脱出都将造成无法预估的后果,医院也从未开展过这项技术。经过周密安排,朱侠凯团队一起克服重重困难,最终为李先生成功实施了九龙县人民医院第一例俯卧位通气治疗。
眼里看的是病,心里装的是人
“最难熬的是气管插管那个晚上。我一边治疗一边观察他尿量是否增加。那种感觉就像两个并肩作战的战友,我完成我的部分,他要完成他的部分。等到晚上23点多,他尿量逐渐增多到50ml/h,当时就觉得有救了”,朱侠凯回忆说。
在李先生住院期间,朱侠凯每天都会专门过去看他,一天至少去三次,并让他的主管医师及时汇报病情发展,以便及时调整治疗方案。
在朱侠凯和九龙县人民医院医护团队的精心治疗和护理下,李先生在11月5日撤离呼吸机,成功脱机拔管。


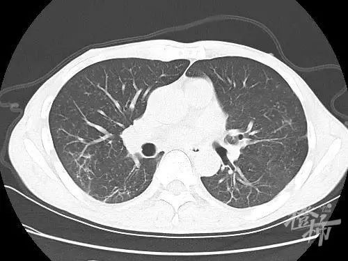
(CT复查显示肺部已基本正常)
11月12日,李先生平安出院,并写下了文章开头的感谢信。

“想到患者刚住院的样子,再看到他现在健康出院,那种欣慰和满足感难以言表。这就是这个职业的魅力,也是我来到四川的初衷”,朱侠凯说。