38岁男子大口吐血,胃里遍布“钢针”!起因竟是20年前的一件事
杭州网  发布时间:2021-08-03 19:22   

都市快报讯  当个遍尝美食的吃货是很多人的梦想。可有些人却无法愉快地享受美食。 “吃”对他们来说甚至成了一种折磨。他们得了一种叫贲门失弛缓症的疾病,导致无法正常进食。

38的峰哥20多年前被查出患有这种疾病,还做了贲门切除+支架置入手术。没想到却让他遭遇到了更大的危险……

20年前的支架散了架

“戳”得到处都是

峰哥是杭州建德人,非常爱好美食,朋友们想要去哪里打牙祭,只要问峰哥,绝对能得到满意的答案。不过,从今年5月初开始,峰哥却经常感到恶心、没胃口,还呕吐,几天后,还突然开始频繁呕血,最多一次几乎就要吐一瓶矿泉水的量!

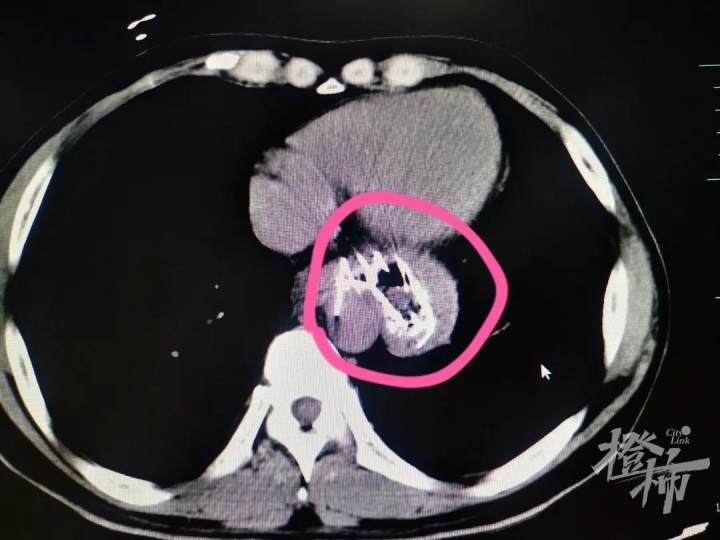
峰哥吓坏了,连忙赶到当地医院就诊,经过CT检查,医生发现峰哥食管、胃部甚至十二指肠处都有不少长条状的尖锐金属异物。

这些异物来自哪里呢?在医生的询问下,峰哥透露,原来,20多年前,他曾因为贲门失弛缓症做过贲门切除加支架置入手术。“有可能是支架散架导致的。”当地医生猜测。

“那时我还在读高中,年轻人胃口好,活动量又大,一顿饭吃好几碗都不觉得撑。”峰哥说,“但不知怎么回事,慢慢地开始觉得吃饭难以下咽,吃一点就胸口堵得慌,到最后甚至会吐出来,吃饭对我来说成了一件痛苦的事情。”峰哥和父母说了这件事,父母带他到当地医院就诊,经过一系列检查,17岁的峰哥被确诊为“贲门失弛缓症”。

贲门位于食管和胃的交界处,一般情况下贲门肌肉可以正常收缩,我们进食时,贲门打开,食物从食管掉进胃里,不进食时,贲门就关闭。而得了贲门失弛缓症的患者,此处的肌肉出现了问题,相当于这扇“门”失灵了,无法正常打开,所以食物就堆积在食管里,造成吞咽困难、食物反流等情况。

为了治疗这一疾病,峰哥在当时接受了贲门切除+支架置入手术,在他贲门内部放入了一个环形支架,撑开肌肉,来代替正常贲门的功能。

手术后,峰哥恢复了正常进食,这么多年能吃能喝,从未到医院进行复查。一直到这次吐血,才被发现原来20年前放入的这个支架已经散了架,并戳破血管,造成出血!

根据CT显示,峰哥体内的“钢针”取出难度太大,当地医院建议他立即转到上级大医院进行治疗。于是,家人又马不停蹄地把峰哥送到了浙江大学医学院附属第一医院。

多学科全力保障

解除了他体内的各个“地雷”

“患者来的时候情况不太好,虽然生命体征还算平稳,但是根据我们对他进行的增强CT显示,患者贲门处、胃里、十二指肠等多处都有散架的金属支架扎入其中,有一根甚至已经贴着胸主动脉,一旦戳破主动脉,就会造成大出血,万分凶险,危及生命。”峰哥的主管医生——消化内科章粉明主治医师说起他的病情至今仍心有余悸。峰哥被紧急收治住院。

消化内科陈洪潭主任医师查房后,马上意识到峰哥病情的凶险,需要尽快外科手术取出破裂散落在胃肠道的支架。消化内科医护人员们一边让峰哥保持平卧状态,不要随意乱动导致散架的支架造成更大伤害;一边立刻组织普胸外科、胃肠外科、血管外科进行多学科会诊。

“金属支架已经多处扎入食管壁、胃壁、十二指肠壁,如果用胃镜方式取出,撕扯可能会造成更大损伤。”

“已经这么贴近主动脉甚至可能已经损伤到主动脉壁了,一旦术中发生大出血,非常凶险。”

“患者胃内散落着多根支架,一旦术中支架拔除困难或出现其他情况,可能会有切除胃的风险。”

……

最终,经过多学科专家团队的共同讨论,为峰哥制定了最安全有效的治疗方案:先由血管外科为峰哥进行主动脉覆膜支架置入手术,以最大限度保护主动脉不会发生大出血状况,待情况稳定后,再由普胸外科和胃肠外科一起为峰哥进行支架取出手术,尽全力为峰哥保住胃部,不影响他的生活治疗。

完善各项术前检查后,血管外科副主任李栋林副主任医师专家团队为峰哥进行了胸主动脉覆膜支架置入手术,简单来说,就是在动脉内部又加了一层“保护膜”,这样即使金属支架戳破了血管,也无法戳破这层保护膜,可以防止出现大出血。

由于散架支架位于贲门、胃部等多处,所以需要进行胸腹联合切口,峰哥情况稳定后,胃肠外科副主任高原主任医师、普胸外科叶芃副主任医师联合主刀,为他进行了这场高难度、高风险的手术。

由于峰哥20多年前因贲门失弛缓症已做过开胸手术,造成胸腹部粘连严重,而且有些支架甚至穿破胃壁,或卡在幽门、贲门处,要一根根取出,操作必须要极度精准,以免造成更大损伤,高原主任医师和叶芃副主任医师小心谨慎地进行着操作,最终顺利取出了近20根散落的尖锐钢针,以及支架的破损残片。

手术结束前,专家团队还对峰哥进行了X光检查,确保没有残余支架残留体内,消化内科金希主任医师则为峰哥进行了胃镜检查,确保胃壁没有损伤和出血灶。

手术后,峰哥很快恢复,目前已经出院,接下去他还将定期到医院复查,并接受进一步的贲门失弛缓症治疗。

近年来病发率不断提高

如果有以下症状要当心

“贲门失迟缓症是一种原发性食管动力障碍性疾病,病因尚未完全明确,可能与遗传、感染、自身免疫等因素相关。”陈洪潭主任医师说,“近年来,此病的发病率有所增加,可能与对该病的认识的不断加深、诊断技术的不断进步有关。虽可以发生于各个年龄阶段,但主要发病年龄为20-40岁。”

贲门失弛缓症的患者,最常见的症状是吞咽困难,而且大部分患者吞咽困难症状会逐渐加重,从而导致体重减轻;未消化的食物反流是第二常见的症状,常发生于卧位,并可能导致误吸,从而引起呼吸道症状,如咳嗽、声音嘶哑、吸入性肺炎等。另外,患者也有可能会出现前胸、上腹部灼热症状,胸痛或胸部不适等,容易被误诊为胃食管反流病、心绞痛等,但这种不适感会因进食而加剧,不会因运动而加重。

贲门失弛缓症虽然不直接威胁生命,但严重影响生活质量,如果不进行及时治疗,会因食物误吸入气管发生肺部感染,同时,食道粘膜长期受到反复刺激,也会发生溃疡甚至恶变。

随着医疗技术的进步,目前贲门失弛缓症患者再也不用像峰哥那样遭罪了,完全可以通过微创、高效的内镜治疗明显缓解症状,几乎对生活没有影响。目前最常用的治疗方法是经口内镜下肌切开术(POEM),是微创手术,恢复很快,简单说就是在胃镜下将贲门处紧缩的肌肉切开而“打开门”。通过治疗,90%的患者可以恢复到接近正常进食,具有良好的生活质量。陈洪潭主任医师笑着说道:“每年过年前几天都会有贲门失弛缓症的患者来就诊,我都能让他们在POEM术后顺利与家人一起吃上年夜饭。”

浙大一院专家提醒,如果出现不明原因的吞咽困难、食道反流,或是胸痛、上腹部灼热等,一段时间无法缓解,需要尽快到医院进行筛查,尽早治疗。

来源:都市快报  作者:记者 金晶 通讯员 王蕊 朱诗意  编辑:张翟
返回