肝癌晚期,癌细胞“跑”进血管形成癌栓!这场手术后,他体内检测不到癌细胞了
杭州网  发布时间:2021-06-29 15:35   

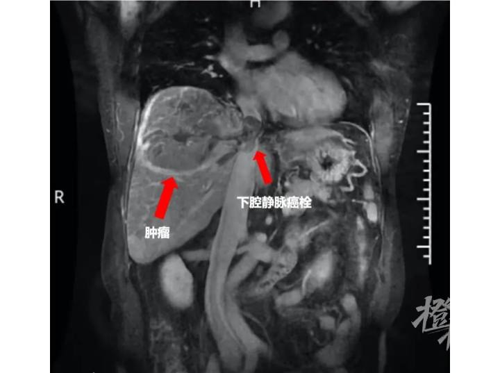
都市快报讯 一边是右肝如柚子大小的肿瘤,一边是“命脉”大血管中鸽子蛋大小的瘤子。四个月前,当李先生(化名)被告知肝癌晚期且伴有癌细胞入侵大血管已失去手术机会时,正值壮年的他感觉天要塌了。

幸运的是,近日,在浙江大学医学院附属邵逸夫医院,经过前期转化治疗后,普外科副主任梁霄主任医师联合胸外科团队,为李先生在腹腔镜下切除病肝,且在胸腔镜下阻断肝上下腔静脉、腹腔镜下阻断肝后静脉的基础上,切开下腔静脉成功取出癌栓。

两处“定时炸弹”顺利拆除,让李先生得以重生。同时,浙大邵逸夫医院也创造了新的临床记录——在世界上率先完成完全腹腔镜下下腔静脉切开取癌栓术。

病情棘手

目前李先生已经顺利出院。在最近一次复查中,他的体内已经检测不到癌细胞了。这也预示着,这场手术对他来说,是生命的再次起航。回想起小半年来的就医经历,李先生感慨万千,“内心充满着感谢与感恩。”

李先生是浙江人,患有乙肝多年。由于“讳疾忌医”,一直没把乙肝当回事,他的肝脏在不知不觉中进入衰老状态,乙肝病毒的常年肆虐导致肝脏结节性肝硬化,肝脏右侧的肿瘤越长越大,且癌细胞严重侵犯血管。

当拿到报告的一瞬间,李先生懵了。听到当地医院医生直言已经没有手术机会,李先生感到“天旋地转”,“像泄了气的皮球”。李先生家中上有老下有小,作为家中顶梁柱,他倒了这个家就完了。

在家人的鼓励下,李先生决定来杭州搏一搏。经多方打听,在得知浙大邵逸夫医院普外科肝胆胰团队在肝癌综合诊治领域处于全国领先水平后,几经周折,李先生找到了梁霄主任医师。

“病情还是非常棘手的。”梁医师坦言,当时肿瘤本身已经十分巨大,且肝癌细胞已经“跑”到血管中,且在下腔静脉中聚集成团,形成鸽子蛋大小的“栓子”,两处肿瘤就如同身体内两颗“定时炸弹”,特别是下腔静脉癌栓已经离右心房非常近,随时可能脱落进入心脏,时刻都有可能危及生命。

“下腔静脉是联通心脏的最大静脉,全身三分之二的血液都要通过它流回心脏,这个位置就好比自来水出厂后的第一道管口,如果在这个血管上开口子取癌栓,后果可想而知,身体内的血液可能在几分钟的时间里就流干了。”梁霄主任解释说,在这个病例中,取栓是比切除肝癌更为艰难的一步。

按照以往的临床经验,这类手术,只能选择“开膛破肚”,打开胸腔和腹腔,才能保证癌栓在取出的过程中不掉进心脏引发猝死,或避免取栓过程中出现大出血。“手术切口和创伤都非常大,对晚期肝癌患者来说,有可能下不了手术台。”梁霄说。

虽然困难重重,但看着面前这位跟自己年纪相仿的患者,梁霄主任医师决定“不走寻常路”,为患者搏一把。

等待机会

近年来,在浙大邵逸夫医院肝胆胰外科,随着转化治疗在临床上的运用,一些原本没有手术机会的困难肝癌患者也等到了手术时机。前段时间,团队就为一位晚期肝癌患者成功进行了转化治疗,并随后采用完全腹腔镜蔡氏ALPPS完整切除了肿瘤,目前患者已恢复正常生活和工作。

梁霄主任医师将李先生收治入院,在进行了肝脏增强磁共振、肝功能评估等一系列措施后,又立马组织了院内MDT讨论,在多学科讨论的基础上,为李先生制定了治疗方案:先进行肝动脉局部灌注化疗(HAIC)联合全身靶向药物和免疫治疗,待肿瘤缩小后再视情况行外科手术。

“这种方案其实就是肝癌转化治疗。转化治疗就是将原本不可切除的肿瘤,或切除后复发率高的肿瘤,通过联合使用介入、靶向和免疫等多种方式对肿瘤进行先期控制、缩小。”

看到曙光的李先生积极配合着治疗。在进行肝动脉局部灌注化疗时,医护人员通过李先生手腕的动脉,将一个只有几毫米粗的管子放入到肝脏的动脉中,瞄准肿瘤进行化疗药物注射。同时,靶向药物和免疫治疗也强化着对体内肿瘤的杀伤力。

经过大约两个半月转化治疗后,梁霄主任医师为李先生安排了住院检查。这时,肝脏的磁共振显示,肿瘤有明显缩小迹象,且下腔静脉里的癌栓也缩小了。

手术时机到了。

险象环生

“前期转化治疗非常成功,我们可以为您实行手术了!”梁霄主任的话如同一颗定心丸,更让李先生欣喜不已的是,梁医师告诉他,经过团队MDT讨论,充分评估,针对以往传统手术均采取开腹开胸创伤非常大的缺点,本次手术方案创新性地联合胸外科团队进行胸腔镜和腹腔镜联合来切除肝脏肿瘤,取出癌栓。这也将是在国际上首次采取完全微创的方式进行肝癌伴有下腔静脉癌栓的治疗,如果成功,将改变肝癌伴有下腔静脉癌栓的诊治策略,也是肝癌微创诊治理念上的里程碑突破。

六月初,李先生躺上了手术台。虽然肿瘤缩小,但由于位置特殊,这场手术无疑也是险象环生,不容许有任何一点差错。

首先,在浙大邵逸夫医院胸外科祝子逸副主任医师娴熟的操作下,透过胸壁的三个小孔用胸腔镜的方法,在下腔静脉进入心脏的位置装上了一个“开关”,用于防止在取癌栓过程中肿瘤进入心脏以及静脉大出血导致生命危险。

随后,梁霄主任医师使用腹腔镜先切下半个西瓜大小的肝脏右侧病灶,并且在完全腹腔镜的情况下小心翼翼切开下腔静脉并成功取出癌栓。

手术过程非常顺利。当手术结束时,在场的所有医护人员无不兴奋。因为,他们创造了肝癌微创手术的另一个里程碑。根据已发表的文献资料及公开报道显示,迄今为止完全腹腔镜下肝癌下腔静脉切开取栓手术并未在临床上实施过。

在随后的24小时,李先生平安地度过了危险期,望着肚子上的几个小洞,李先生长长舒了口气。

梁霄主任医师坦言,目前肝癌的转化治疗,为更多不能接受手术切除的患者带来手术机会。同时,日益成熟的腹腔镜微创技术也势必会创造更多新的临床巅峰,完成更多曾经只能在大切口手术下才能完成的任务。

来源:都市快报  作者:记者 金晶 通讯员 王家铃 李文芳  编辑:张翟
返回
一边是右肝如柚子大小的肿瘤,一边是“命脉”大血管中鸽子蛋大小的瘤子。四个月前,当李先生(化名)被告知肝癌晚期且伴有癌细胞入侵大血管已失去手术机会时,正值壮年的他感觉天要塌了。